生命之光
如今,借助发达的网络技术,我们可以实时观看天宫空间站中宇航员们工作及生活的直播。和在地面不同,太空中宇航员们总是“飘”着的,人类的身体在进化过程当中早就熟悉了地球引力,长时间待在太空失重环境下的宇航员回到地球后终究会有一些不适应。在太空失重状态下,就连人体的“司令部”——大脑也会发生一些意想不到的改变,人类的大脑在太空中被“重塑”了,这是怎么一回事呢?

自20世纪50年代以来,大量的研究已经证实,长时间的太空生活会对人体的新陈代谢、热调节、肌张力、骨密度、呼吸系统等产生影响。比如视觉障碍颅内压综合征,它是一种会影响视力、使人产生头痛的太空病。
也许我们想象不到,太空的失重环境还会影响我们的大脑,这种疾病的根源在于大脑是人体的中央处理器。虽然视觉障碍颅内压综合征很早就被发现,而且得到了人们的重视,但是其致病机理直到2020年才被揭示,原因很简单:人类的大脑在太空中移位了。

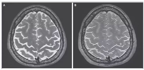
一名宇航员的大脑核磁共振成像照片,在一次长时间太空飞行前(图左)与后(图右)对比,太空飞行后,宇航员大脑中央沟变窄,脑脊液和脑蛋白质扩张。
保护大脑的液体——脑脊液
其实,人类的大脑并不是紧贴着头骨生长的,大脑泡在一摊“水”里,这摊“水”叫脑脊液,是存在于脑室及蛛网膜下腔的一种无色透明的液体,大概有150毫升,相当于半盒牛奶的含量。别小看大脑里的这点水,它可有着大用处。
人类的大脑是身体最重要的神经器官,一切高级的思考活动都在此处进行。而连接大脑的还有一条神经的高速公路——脊髓。它负责将大脑的指令分发传达下去。脑脊液包围并支持着整个大脑及脊髓,正是脑脊液帮助固定了大脑的位置。而且脑脊液每时每刻都在更新,帮大脑带走代谢废物。如果说大脑是CPU(中央处理器),那么脑脊液就相当于冷却液。而且这股冷却液还能帮助稳定我们的大脑,在遭遇外来冲击的时候吸收掉一部分力量,起到一定的保护作用。

脑脊液示意图
大脑重新“排兵布阵”
科学家研究发现,在太空长时间飞行的宇航员,大脑中的脑脊液分布发生了改变。在他们的头颅当中,大脑下部区域比上部区域有着更多的脑脊液。也就意味着,在太空中,宇航员的大脑位置发生了改变,悄悄“提升”了。
这是什么原因呢?科学家发现,可能是由于方向感应系统失灵。
我们知道,感应方向主要依靠人类的耳石。耳石位于内耳深处,就是一块小小的“石头”。不过这块“石头”可不一般,耳石周围有着复杂的感觉器官,可以依靠重力、惯性来帮助人们判断方向,保持平衡。然而,在太空的失重条件下,耳石也“飘”了起来,这么一来,大脑就会找不到方向,自然也无法判断环境产生了哪些改变。于是,脑脊液分布就产生了错乱,进而导致大脑位置的变化,大脑的脑脊液代谢也就产生了混乱。通常来说,宇航员的脑脊液多于未进入过太空的地球居民。在太空待久了,在大脑深处产生脑脊液结构——脑室会产生扩张。

耳石结构图
而另一个产生变化的结构便是脑白质。
脑白质帮助人类处理视觉与空间、平衡感、垂直感知,以及运动控制信息。科学家认为,脑脊液增加带来的压力导致脑中的水分被“压”进了脑白质,从而造成了脑白质的膨大,进而影响了宇航员的平衡感等。
脑脊液和脑白质的扩张挤占空间,自然就需要有其他结构进行缩小。缩小的就是宇航员的脑垂体,这是一种分泌各种重要激素的结构。而这对人体代谢活动产生的影响可就多了。

脑白质结构图
为了实现人类能长期在太空生活的长远目标,现阶段我们还面临着很多的问题:人体的循环系统,免疫系统在太空中究竟会产生什么样的变化?我们大脑结构的改变会不会影响身体健康?如今,科学家们正在努力攻克这些问题,试图解开其中的谜团。
【我们尊重原创,也注重分享。版权原作者所有,如有侵犯您的权益请及时联系,我们将第一时间删除。分享内容不代表本网观点,仅供参考。】


抖音
公众号
小红书